こんな症状はありませんか?

  • 歯の黄ばみが気になる
  • 着色がつきやすい
  • 結婚式のために歯を急いで白くしたい
  • 歯に白い斑点・縞模様がある
  • 1本の歯だけ黒くなってきた
  • 差し歯と他の自分の歯の色が違ってきた
  • 営業職で人と話す機会が多いので、
    口元が気になる

当院のホワイトニング

当院のホワイトニング

複数の方法を組み合わせて
施術いたします

ホワイトニングには、医院で施術する「オフィスホワイトニング」と、ご自宅で行う「ホームホワイトニング」があります。両方を併用する「デュアルホワイトニング」では、より高い効果と白さの持続が期待できます。

当院のホワイトニングの特徴

診察のようす
  • リスクや副作用の説明

    効果だけでなく、知覚過敏や色の後戻りなどのリスクや副作用についてもきちんと説明し、納得していただいた上で治療を進めます。

  • 事前の口腔内検査

    ホワイトニング前に、むし歯や歯周病がないか必要な検査をおこない、問題があれば先に治療するか、後で治療するかご提案します。

  • わかりやすい料金体系

    ホワイトニングにかかる費用、追加で発生する可能性のある費用についてわかりやすく説明をいたします。

  • アフターケアとメインテナンス

    ホワイトニング後のメインテナンスやアフターケアについての説明をいたします。

  • オフィスホワイトニング

    歯科医院で受ける

    オフィスホワイトニング

  • ホームホワイトニング

    自宅で手軽できる

    ホームホワイトニング

  • デュアルホワイトニング

    オフィスとホームの併用

    デュアルホワイトニング

  • ホワイトスポット治療

    部分ホワイトニング

    ホワイトスポット治療

  • ウォーキングブリーチ

    歯の漂白

    ウォーキングブリーチ

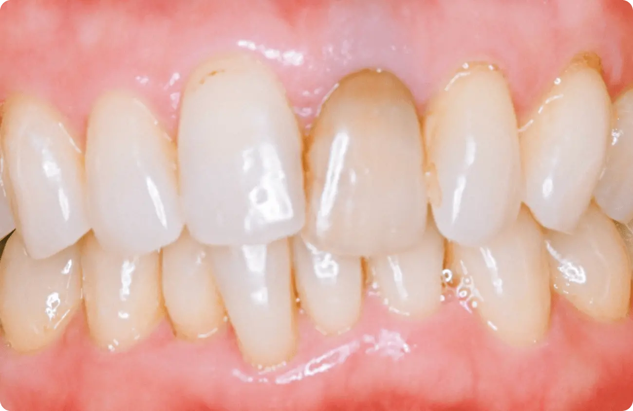
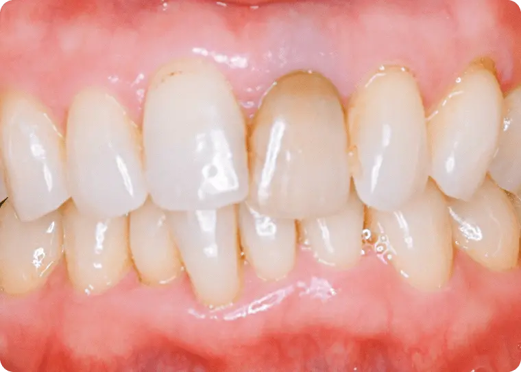
症例

before after

オフィスホワイトニング

主訴
歯を白くしたい
患者様
20代/女性
治療期間
3回
費用
33,000円(税込)
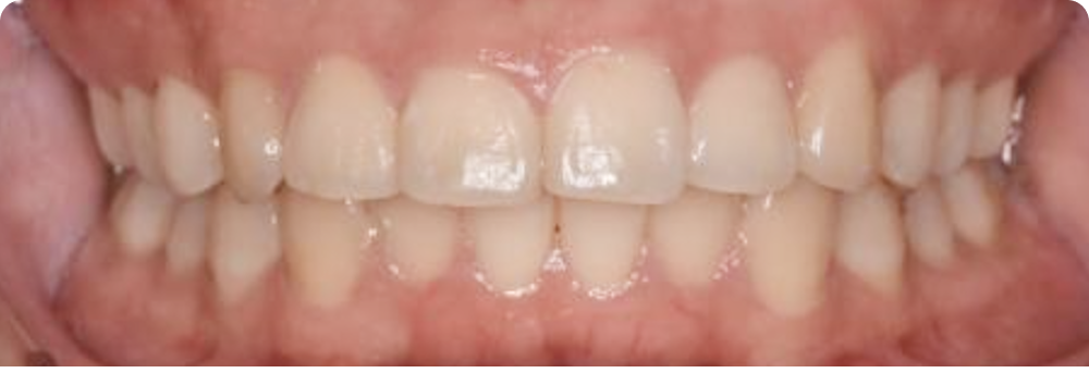
before after

ホワイトスポットの治療

主訴
白い斑点をとりたい
患者様
20代/男性
治療期間
4回
費用
27,500円(税込)
どの治療を選択するべきか

どの治療を選択するべきか

確実により白さを求める場合は、オフィスホワイトニングをおすすめしています。ホームホワイトニングは、通院がなかなかできない方やオフィスホワイトニングをされた方が白さを維持するために行います。

料金

オフィスホワイトニング(3回分)

33,000円(税込)

ホームホワイトニング(3週間分)

さらに行いたい方は別料金で薬剤のみ購入していただきす。

33,000円(税込)

デュアルホワイトニング

60,000円(税込)

ホワイトスポット(歯の斑点)

※自費治療

27,500円(税込)

ウォーキングブリーチ(歯の漂白)

1本あたり

15,000円(税込)

よくある質問

Q ホワイトニングのリスクと副作用
猫のイラスト
ホワイトニングは人によってしみるといった症状(知覚過敏)が一時的に出る場合があります。また個人差はありますが色の後戻り(約半年~1年)がおきます。定期的にホワイトニングをしていただくことをおすすめします。
Q ホワイトニングの注意点は?
猫のイラスト
歯の表面を覆っている被膜(ペリクル)は、ホワイトニングで除去されます。しかし、12時間から24時間かけて再生されます。再生されるまでホワイトニングをして約24時間は色の濃い食べ物、飲み物は控えてください。
Q ホワイトニング後に避けた方が良い食事や飲み物はありますか?
猫のイラスト
ホワイトニング後24時間は避けた方がよいもの(色の濃いもの、酸性のつよいもの)
コーヒー、紅茶、日本茶、コーラ、赤ワイン、ジュース類、炭酸飲料、焼きそば、カレーライス、ナポリタン、焼肉、やきとり(タレ)、ラーメン(みそ、醤油)、チョコレート、大福、ぶどうやイチゴなどの色の濃い果物、トマトなどの色の濃い野菜、レモンやキュウリなどの酸性の高い飲食物、色つきの歯磨き粉、うがい薬、口紅
Q ホワイトニング直後に口にしてよいものはありますか?
猫のイラスト
水、牛乳、豆乳、白ワイン、色の薄いビール、ヨーグルト、チーズ、フライドポテト、ポテトチップス(塩味)、米、お粥、パン、鶏肉、白身魚(醤油なし)、ラーメン(とんこつ、塩)、カルボナーラなどのホワイトソース、お吸い物、白味噌汁、ナッツ類、貝柱、えび、しらす、大根、里芋
Q ホワイトニング後はタバコは大丈夫ですか?
猫のイラスト
ホワイトニング後は24時間は禁煙してください。

〒471-0069 愛知県豊田市高原町4-34-1

午前  9:00-13:00
午後 15:00-19:00

水・土18:00まで / 木・日・祝休診

いぐち歯科クリニック外観
ご予約・お問い合わせ

ご予約・お問い合わせ

受付時間:9:00~19:00(水・土18:00まで)
/ 木・日・祝は休診

ACCESS

〒471-0069 愛知県豊田市高原町4-34-1

  • 電車

    電車でお越しの方

    名鉄梅坪駅から徒歩15分
    愛知環状鉄道 愛環梅坪駅から徒歩10分

  • バス

    バスでお越しの方

    豊田市駅より、おいでんバスに乗車
    藤岡・豊田線(加納経由)西山公園より徒歩5分

  • お車

    お車でお越しの方

    豊田市高原町4丁目交差点角
    西山公園(市緑化センター)前
    喫茶店「明楽時運」さんの隣
    【駐車場10台分あり】

    いぐち歯科クリニック駐車場