歯の移植とは?

歯の移植とは?

自分の歯を移動させる治療

歯の移植とは、外科的に歯を移動させる治療のことです。
どうしてもダメになった歯を抜き、別の健康な歯を抜いて移す術式で、自分の歯であれば外科的に移動が可能です。

また、保険でできる治療と、自由診療になる場合があります。状況によっては、矯正治療が必要になることもあります。

移植が可能な条件

  • 歯根膜が十分にある

    移植・再植で一番大事な組織です。
    歯根膜がないと成功しません。

  • 移植する歯が健康

    移植に使う歯が、割れていない・歯周病になってない・むし歯になってない・根の長さがある程度あるなど。

  • 移植する歯の根が、単純な形である

    移植する歯を傷つけずに抜歯したいため、単純な形をしている必要があります。

  • 移植する歯と場所のサイズが合う

    ある程度骨を削ってサイズを合わせますが、あまりにも合っていない場合は、できないときがあります。

移植した歯の寿命

移植した歯の寿命

5年で生存率が*約75%、10年生存率が*約70%(※諸説あり)。

インプラント治療の成功率・生存率と比較すれば低いですが、自分の歯を活かす選択肢として、十分検討してもいい方法です。

治療期間や通院回数

治療期間や通院回数

治療期間は約4ヶ月、通院回数は10回ほどになります。

治療方法

メリット

デメリット

入れ歯
入れ歯
  • 早く安く(保険内)できます。
  • 歯をほとんど削らなくてすみます。
  • 毎日自分で外してお手入れをしないといけません。
  • 異物感があります。
  • 噛み応えはないかもしれません。
ブリッジ
ブリッジ
  • もとあった歯のように、噛めます。
  • 歯を大幅に削ります。神経の処置をしなければいけないときもあります。
  • 定期的なメインテナンスが必要です。
歯の移植
歯の移植
  • もとあった歯のように、噛めます。
  • 使っていると移植した歯がだめになるときもあります。
  • 外科処置が必要です。
放置(抜いたまま)
放置(抜いたまま)
  • 何もしないので治療費はかかりません。
  • 他の歯には負担がかかりません。
  • 意外にこの方法が結局よかったりもします。
  • 隣の歯が倒れてきたり、上や下の歯が出てきたりして、歯並びがおかしくなることがあります。
  • 噛みにくくなることがあります。
インプラント
インプラント
  • 元あったように自然に普通においしく噛めるようになります。
  • 他の残っている歯に負担をかけず、逆に助けてくれます。
  • 外科処置が必要です。
  • 定期的なメインテナンスが必要です。
  • 自費治療になります。
  • 定期天然の歯と同じく手入れが悪ければ長持ちしない。的なメインテナンスが必要です。
インプラントオーバーデンチャー
インプラント
オーバーデンチャー
  • もともと入れ歯が入っている方で、入れ歯が外れやすい方や調子が悪い方に適しています。
  • 入れ歯と併用することで、インプラントの本数を減らすことができ費用が少し安くなります。
  • インプラントは比較的大丈夫ですが、入れ歯が長期使っていると壊れてきたりします。
  • 少ない本数といえども外科手術は必要です。

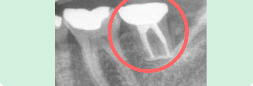
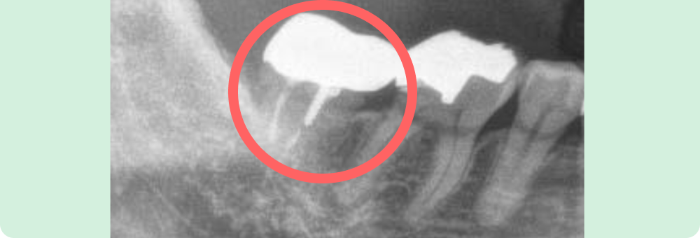
症例

before after

右下奥歯の移植

右下の一番奥の歯が破折し、保存が難しい状況でしたので抜歯し、同時に右下奥の親知らずを抜いて手前に移植しました。
現在もしっかり機能してます。

主訴
右下奥歯が痛い
患者様
40代/女性
治療期間
4ヶ月
費用
約20,000円(税込)保険内
before after

左下奥歯の再植

根っこの治療を開始しましたがあまりよくならず、本来なら抜歯ケースですが、患者さんと相談し一度、再植をすることになりました。
いったん抜歯し、その場で薬を塗布し再度、戻しました。
現在でも痛み無く十分機能しています。

主訴
左下奥歯が腫れて痛い
患者様
50代/女性
治療期間
4ヶ月
費用
約20,000円(税込)保険内

治療の流れ

STEP1

歯の抜歯

歯の抜歯

保存が難しい歯を抜歯、移植する歯を抜歯します

STEP2

骨の整形

骨の整形

持ってきた歯を骨の中に入れるために、骨を少し削ります。

STEP3

固定

固定

移植した歯が引っ付くまで、数か月間、隣の歯と固定します。しばらく移植した場所では嚙まないように注意が必要です。

STEP4

神経の措置

神経の措置

移植した歯と骨と引っ付くまでに、必要であれば神経の処置をします。

STEP5

冠でかぶせます

冠でかぶせます

移植した歯と骨と引っ付いたのを確認し、冠でかぶせます。

料金

移植・再植(保険内)

保険内でできない場合もありますので診療所でご相談ください。

約20,000円(税込)

移植・再植(保険外)

上に被せるものは自由診療で別料金(110,000円)が発生します。

110,000円(税込)

よくある質問

Q 保険は適用されますか?
猫のイラスト
保険でできる治療と、自由診療になる場合があります。
状況によっては、矯正治療が必要になることもあります。
Q 移植した歯はどれくらいもちますか?
猫のイラスト
5年で生存率が*約75%、10年生存率が*約70%(※諸説あり)。
インプラント治療の成功率・生存率と比較すれば低いですが、自分の歯を活かす選択肢として、十分検討してもいい方法です。
Q 治療期間や通院回数はどれくらいかかりますか?
猫のイラスト
治療期間は約4ヶ月、通院回数は10回ほどになります。

〒471-0069 愛知県豊田市高原町4-34-1

午前  9:00-13:00
午後 15:00-19:00

水・土18:00まで / 木・日・祝休診

いぐち歯科クリニック外観
ご予約・お問い合わせ

ご予約・お問い合わせ

受付時間:9:00~19:00(水・土18:00まで)
/ 木・日・祝は休診

ACCESS

〒471-0069 愛知県豊田市高原町4-34-1

  • 電車

    電車でお越しの方

    名鉄梅坪駅から徒歩15分
    愛知環状鉄道 愛環梅坪駅から徒歩10分

  • バス

    バスでお越しの方

    豊田市駅より、おいでんバスに乗車
    藤岡・豊田線(加納経由)西山公園より徒歩5分

  • お車

    お車でお越しの方

    豊田市高原町4丁目交差点角
    西山公園(市緑化センター)前
    喫茶店「明楽時運」さんの隣
    【駐車場10台分あり】

    いぐち歯科クリニック駐車場